image
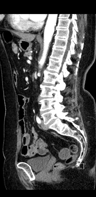
CT Bleeding Study
4 views
Jan 20, 2025
  • Disease Specialty: Gastroenterology
  • Ease of Diagnosis: Easy
  • Ethnicity: Asian
  • Segment: Adult Female
  • Image Quality: High
  • Patient Age: 65 Years
  • Patient Gender: Female
  • image
    Sadia Noreen
    Author
    1 year ago
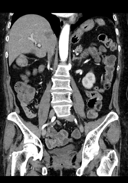
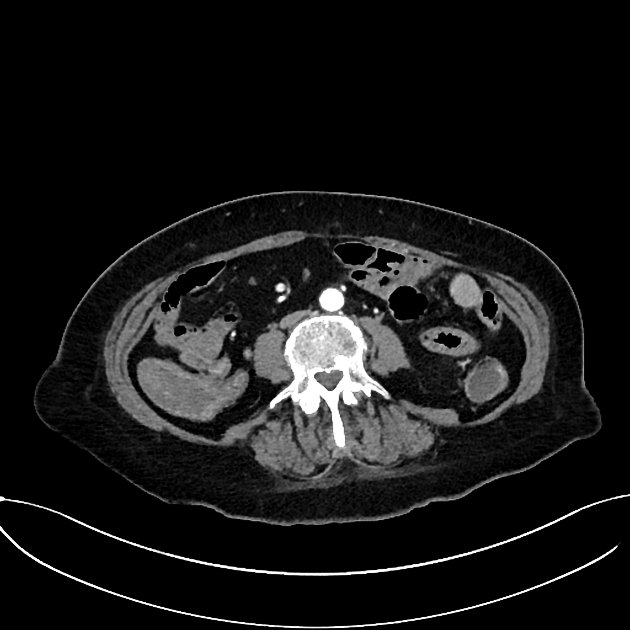
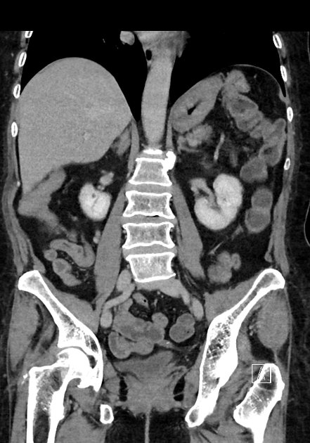
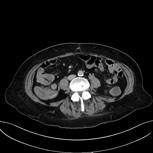
    A patient presents with acute hypotension and hematochezia. An estimated 2L of blood loss was recorded in the ED. The patient was referred to general surgery. The bleeding stopped, and the patient remained hemodynamically stable. A colonoscopy was arranged. CT findings suggest an unusual cause of lower gastrointestinal bleeding. Based on the provided CT scan and case history, what is the most likely diagnosis?
    1 Comment
    Please Login to your account to write a comment.
    image
    Sadia Noreen
    Author
    8 months ago
    Your Answer Carcinoid tumor of the appendix
    Correct answer is Appendiceal hemorrhage due to angiodysplasia
    image